A smiling woman with dark hair wearing a brown top poses in front of a blurred indoor setting.

Smile Gallery

A smiling woman with dark hair wearing a brown top poses in front of a blurred indoor setting.
The image shows a person smiling with their teeth, displaying yellow stains, which suggests poor oral hygiene or discoloration.

Before

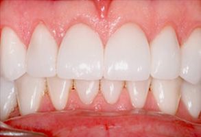
The image shows a close-up of a person s smiling face with straight white teeth and pink gums, against a neutral background.

After

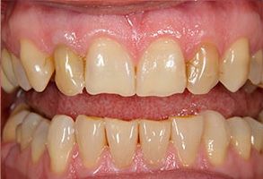
The image shows a close-up view of a person s teeth with visible staining and discoloration, likely due to poor oral hygiene or dental issues.

Before

The image shows a close-up view of a person s teeth with yellow staining, indicating possible dental issues such as discoloration or decay.

After

The image shows a close-up of a person s face with a big smile, focusing on the teeth and lips.

Before

The image shows a close-up of a smiling person with a visible gap between their front teeth, wearing lipstick, which appears to be a shade of pink.

After

The image displays a close-up view of a person s teeth with a focus on a dental implant, showcasing the clinical aspect of oral care.

Before

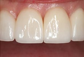
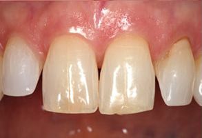
The image displays a close-up view of a person s teeth with a focus on a bright white smile and a partial view of the gums, set against a dark background that contrasts with the subject.

After

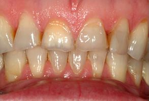
This is a close-up photograph of a person s teeth with yellow stains and a pink gumline, likely taken for dental health purposes.

Before

The image displays a close-up view of a person s teeth with a focus on the lower front teeth, which are white with visible enamel and some staining.

After

The image shows a close-up view of a person s teeth with a focus on a dental implant, which appears to be a prosthetic tooth with a visible screw, set against a blurred background that suggests an oral care setting.

Before

The image shows a close-up view of a person s teeth with a focus on their lower front teeth, which are white and appear clean and well-maintained.

After

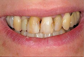
The image displays a person s mouth with a large gap between the upper teeth, showcasing a damaged set of teeth with visible decay and staining.

Before

The image shows a close-up view of a person s teeth with a focus on a dental implant, which has a visible screw head extending through the gum line.

After

Contact Us

Schedule your appointment online or give us a call to get started today.

Jolly Family Dental 4601 Fairway Ave, North Little Rock, AR 72116